
Chez Ventio, nous portons la plus grande attention à la...
Solutions de traitement
de données d’imagerie
médicale
Nous accompagnons les porteurs d’études et d’essais cliniques en réduisant la complexité de l’imagerie médicale et en leur permettant d’inclure des biomarqueurs innovants dans leur recherches.
A propos
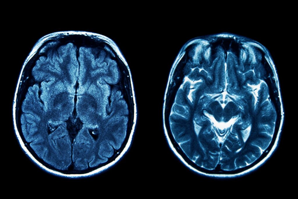
Entreprise innovante du numérique en santé, Ventio accompagne les porteurs de recherche et d’essais clinique dans le traitement et la sécurisation de données sensibles issues de l’imagerie médicale.
Nous proposons à nos clients et partenaires des logiciels de traitement d’imagerie permettant d’inclure des biomarqueurs innovants, et notamment la technologie d’imagerie QSM, dans leur projets d’études et d’évaluation cliniques sur des thérapies innovantes.

Intégrez ce biomarqueur innovant dans vos études, grâce à QSMetric, seule solution autorisée pour la recherche en mode SaaS, adossée à des espaces Cloud sécurisés.

Ingénierie IT pour le traitement sécurisé de données de santé sur le Cloud, en conformité avec le RGDP .

Appuyez-vous sur l'expertise Ventio pour externaliser vos opérations de R&D et bénéficiez du crédit d'impôt recherche (CIR) à hauteur de 30%.
Nous accompagnons chacun de nos partenaires en prenant en compte les spécificités de son projet (infrastructures cloud existantes, objectifs de recherche, ressources disponibles, niveau de connaissance sur le biomarqueur, besoin d’expertise quant à la qualification des protocoles).
Notre objectif est de vous permettre d’accéder à une technologie clef en main, tout en vous accompagnant à chaque étape.
Retrouvez-nous aux :








Chez Ventio, nous portons la plus grande attention à la...
![Ventio au congrès 2023 de la SFRMBM [Bilan]](https://qsm-hub.eu/wp-content/uploads/2023/05/Ventio-au-congres-de-la-SFRMBM.jpg)
Sponsor du congrès 2023 de la SFRMBM (Société Française de Résonance Magnétique...

En décembre 2022, Davy a obtenu la certification Testeur ISTQB...
Lorem ipsum dolor sit amet, consectetur adipiscing elit.Ut elit tellus, luctus nec ullamcorper mattis, pulvinar dapibus leo.
Start-up en santé numérique installée à Marseille, proposant du déploiement de Cloud sécurisée pour le traitement des données de santé
© 2022 Created with Royal Elementor Addons
Afin d'améliorer votre expérience utilisateur ce site web utilise des cookies. Vous pouvez retirer votre consentement ou vous opposer au traitement à tous moment en cliquant sur "En savoir plus".